Glaucoma Primário
By
Eudes Candido
Glaucoma
·
Glaucoma de ângulo aberto
·
Glaucoma de ângulo fechado
·
Glaucoma Primário
Imagem por: petcare.com.br A síndrome glaucoma constitui uma das principais causas de perda da visão nos animais, acometendo cerca de 0,5% da popula…
Leia Mais »
Ceratite Superficial Crônica (pannus oftálmico)
By
Eudes Candido
Ceratite Superficial Crônica
·
pannus
·
pannus degenerativo
·
pannus oftálmico
·
síndrome de Uberreiter
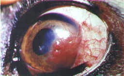
Descrição: Proliferação de massa avermelhada, semelhante a tecido de granulação, acompanhada por melanose corneal, neovascularização e edema variáveis. A d…
Leia Mais »
PESQUISE
ÚLTIMAS PUBLICAÇÕES
3-latest-65px
TODOS OS ASSUNTOS
- Cães (1)
- Ceratite Superficial Crônica (1)
- Disfunção Lacrimal (1)
- Gatos (2)
- Glaucoma (1)
- Glaucoma de ângulo aberto (1)
- Glaucoma de ângulo fechado (1)
- Glaucoma Primário (1)
- Nervos Cranianos (1)
- Olho Seco (1)
- pannus (1)
- pannus degenerativo (1)
- pannus oftálmico (1)
- Sequestro corneal felino (1)
- Síndrome de Horner (1)
- síndrome de Uberreiter (1)
- Síndrome Uveodermatológica (1)
POSTAGENS POPULARES
-
INTRODUÇÃO A Síndrome de Horner (SH) é um conjunto de sinais clínicos que resulta da interrupção ou perda da inervação simpática par...
-
Nervos cranianos são os que fazem conexão com o encéfalo. Os 12 pares de nervos cranianos recebem uma nomenclatura específica, sendo nu...
-
Descrição: Proliferação de massa avermelhada, semelhante a tecido de granulação, acompanhada por melanose corneal, neovascularização e e...
-
Imagem por: petcare.com.br A síndrome glaucoma constitui uma das principais causas de perda da visão nos animais, acometendo cerc...
-
Imagem: Dra. Geovana (@dra_geovana_oftalmo_vet) O sequestro corneal felino é uma degenerescência da córnea bastante frequente em gatos,...